Bạn có đang cảm thấy mất tự tin vì hơi thở có mùi dù đã đánh răng đều đặn mỗi ngày? Khi soi gương, bạn thấy viền răng sát nướu xuất hiện lớp cặn vàng hoặc nâu cứng đầu? Thậm chí mỗi lần chải răng lại bị chảy máu chân răng nhẹ nhưng nghĩ rằng “chắc không sao”?
Rất nhiều người chủ quan với cao răng vì cho rằng đó chỉ là mảng bám thông thường. Tuy nhiên, cao răng tích tụ lâu ngày chính là nguyên nhân hàng đầu gây viêm nướu, tụt lợi, hôi miệng và thậm chí mất răng. Một hàm răng không sạch không chỉ ảnh hưởng đến thẩm mỹ mà còn tác động trực tiếp đến sức khỏe răng miệng lâu dài.

Vì sao lấy cao răng là việc cần thiết?
Sau khi ăn uống, mảng bám vi khuẩn hình thành liên tục trên bề mặt răng. Nếu không được làm sạch đúng cách, chúng sẽ cứng lại thành cao răng và bám chặt quanh chân răng, dưới nướu – nơi bàn chải thông thường không thể làm sạch.
Cao răng là môi trường lý tưởng cho vi khuẩn phát triển. Vi khuẩn này gây kích ứng nướu, làm nướu sưng đỏ, dễ chảy máu và dần tiến triển thành viêm nha chu nếu không xử lý kịp thời.
Lấy cao răng tại nha khoa sử dụng thiết bị siêu âm chuyên dụng giúp loại bỏ mảng bám cứng đầu mà không làm tổn hại men răng. Quy trình nhanh chóng, an toàn và giúp cải thiện rõ rệt tình trạng răng miệng chỉ sau một buổi thực hiện.

Lấy cao răng là gì?
Khái niệm lấy cao răng
Lấy cao răng là thủ thuật sử dụng sóng siêu âm hoặc dụng cụ chuyên dụng để loại bỏ mảng bám và cao răng tích tụ trên bề mặt răng và dưới nướu.
Khác với việc đánh răng tại nhà, phương pháp này tác động trực tiếp đến phần cao răng đã cứng lại – thứ mà bàn chải thông thường không thể làm sạch.
Vì sao nên lấy cao răng tại nha khoa thay vì tự xử lý tại nhà?
Nhiều người cố gắng cạo cao răng bằng mẹo dân gian hoặc dụng cụ mua trên mạng. Tuy nhiên, việc này tiềm ẩn nguy cơ làm trầy men răng, tổn thương nướu và gây viêm nhiễm.
Lấy cao răng tại nha khoa mang lại:
-
Làm sạch triệt để cả trên và dưới nướu
-
Hạn chế tổn thương mô mềm
-
Giảm nguy cơ viêm nướu, viêm nha chu
-
Thực hiện nhanh chóng chỉ 15–30 phút
-
Được bác sĩ theo dõi và kiểm soát an toàn
Thay vì để cao răng tích tụ nhiều năm và phải điều trị phức tạp, bạn chỉ cần vệ sinh định kỳ 6 tháng/lần để bảo vệ răng miệng lâu dài.

Đối tượng nên và không nên lấy cao răng
Lấy cao răng là thủ thuật đơn giản và an toàn, tuy nhiên vẫn cần xác định đúng tình trạng răng miệng để đạt hiệu quả tốt nhất.
Những trường hợp nên lấy cao răng càng sớm càng tốt
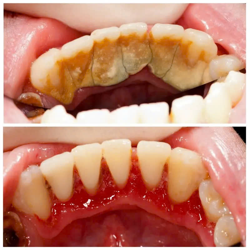
Người có mảng bám vàng nâu quanh viền nướu
Nếu bạn thấy chân răng xuất hiện lớp cứng màu vàng hoặc nâu sậm, đó không còn là mảng bám thông thường nữa – mà đã là cao răng vôi hóa. Lúc này, việc đánh răng hay súc miệng sẽ không thể loại bỏ được. Càng để lâu, vi khuẩn càng phát triển mạnh và tấn công nướu.
Người thường xuyên chảy máu chân răng khi đánh răng
Đừng vội nghĩ do bàn chải cứng hay đánh răng quá mạnh. Phần lớn nguyên nhân là do viêm nướu vì cao răng tích tụ lâu ngày. Lấy cao răng đúng cách sẽ giúp nướu khỏe hơn và giảm tình trạng chảy máu rõ rệt.
Người bị hôi miệng kéo dài
Hơi thở có mùi dù đã vệ sinh kỹ có thể bắt nguồn từ vi khuẩn sinh sống trong các mảng cao răng, đặc biệt là cao răng dưới nướu. Làm sạch định kỳ giúp cải thiện mùi hôi và lấy lại sự tự tin khi giao tiếp.
Người hút thuốc lá, uống nhiều cà phê, trà
Những thói quen này khiến cao răng hình thành nhanh hơn và sậm màu hơn bình thường. Nếu không lấy cao răng định kỳ, răng sẽ ngày càng xỉn màu và dễ mắc bệnh nha chu.
Người đã hơn 6 tháng chưa vệ sinh răng chuyên sâu
Ngay cả khi không đau nhức, cao răng vẫn đang âm thầm tích tụ mỗi ngày. Các chuyên gia khuyến cáo nên lấy cao răng 3–6 tháng/lần để phòng ngừa bệnh lý răng miệng hiệu quả.
Những trường hợp cần thăm khám trước khi lấy cao răng
Dù là thủ thuật đơn giản và an toàn, nhưng không phải ai cũng nên thực hiện ngay mà không kiểm tra trước.
Người đang bị viêm nha chu nặng
Nếu có dấu hiệu tụt nướu, răng lung lay, tiêu xương ổ răng… bác sĩ cần đánh giá kỹ và có phác đồ điều trị phù hợp trước khi tiến hành cạo vôi răng.
Người mắc bệnh lý toàn thân chưa kiểm soát tốt
Ví dụ như tiểu đường không ổn định, rối loạn đông máu, huyết áp cao… Những tình trạng này có thể ảnh hưởng đến quá trình điều trị và hồi phục, vì vậy cần được bác sĩ tư vấn cụ thể.
Phụ nữ mang thai 3 tháng đầu
Giai đoạn này cơ thể nhạy cảm hơn bình thường, nên việc điều trị nha khoa cần có chỉ định và theo dõi từ bác sĩ.
Người đang bị viêm nhiễm cấp tính vùng miệng
Nếu nướu đang sưng đau nhiều hoặc có ổ áp xe, bác sĩ sẽ xử lý viêm trước rồi mới tiến hành lấy cao răng để đảm bảo an toàn.
Lợi ích nổi bật khi lấy cao răng định kỳ
Cao răng là mảng bám đã bị vôi hóa, chứa rất nhiều vi khuẩn có hại. Nếu không được loại bỏ định kỳ, chúng sẽ âm thầm tấn công nướu và cấu trúc nâng đỡ răng. Vì vậy, lấy cao răng không chỉ mang lại lợi ích trước mắt mà còn bảo vệ sức khỏe răng miệng lâu dài.
Giảm viêm nướu và chảy máu chân răng
Cao răng chính là nguyên nhân hàng đầu gây viêm nướu. Khi lớp cặn cứng được loại bỏ, môi trường vi khuẩn bị phá vỡ, nướu sẽ dần hồi phục, săn chắc và hồng hào hơn. Tình trạng chảy máu khi đánh răng cũng được cải thiện rõ rệt sau một thời gian ngắn.
Cải thiện hơi thở hiệu quả
Vi khuẩn tồn tại trong cao răng là “thủ phạm” phổ biến gây hôi miệng kéo dài. Việc làm sạch chuyên sâu giúp loại bỏ nguồn gây mùi từ bên trong, mang lại hơi thở thơm mát tự nhiên và giúp bạn tự tin hơn trong giao tiếp hàng ngày.
Ngăn ngừa bệnh nha chu và mất răng sớm
Nếu cao răng tích tụ lâu ngày, vi khuẩn sẽ tấn công sâu xuống dưới nướu, gây viêm nha chu, tiêu xương ổ răng và khiến răng lung lay. Lấy cao răng định kỳ giúp ngăn chặn quá trình này ngay từ giai đoạn sớm, bảo vệ răng thật bền vững theo thời gian.
Tăng tính thẩm mỹ cho nụ cười
Sau khi loại bỏ lớp cặn bám vàng nâu, răng trở nên sạch sẽ, sáng và đều màu hơn. Dù không phải phương pháp làm trắng răng chuyên sâu, nhưng lấy cao răng vẫn giúp cải thiện đáng kể diện mạo nụ cười.
Phát hiện sớm các vấn đề răng miệng
Mỗi lần lấy cao răng là một lần kiểm tra tổng quát tình trạng răng miệng. Bác sĩ có thể phát hiện sớm sâu răng, viêm nướu, răng nứt mẻ hoặc các bất thường khác để xử lý kịp thời, tránh biến chứng phức tạp và tốn kém sau này.

Quy trình lấy cao răng diễn ra như thế nào?
Để đảm bảo hiệu quả làm sạch tối ưu và hạn chế tối đa cảm giác ê buốt, quy trình lấy cao răng tại nha khoa được thực hiện theo từng bước kiểm soát chặt chẽ. Mỗi giai đoạn đều có vai trò quan trọng trong việc bảo vệ men răng và mô nướu.
Thăm khám và kiểm tra tình trạng răng
Bác sĩ kiểm tra tổng quát khoang miệng, đánh giá mức độ tích tụ cao răng trên thân răng và dưới nướu. Đồng thời, tình trạng viêm nướu, chảy máu chân răng hoặc dấu hiệu viêm nha chu (nếu có) cũng sẽ được xác định.
Trong trường hợp phát hiện bệnh lý răng miệng nghiêm trọng, bác sĩ sẽ tư vấn hướng xử lý phù hợp trước khi tiến hành làm sạch chuyên sâu.
Tiến hành lấy cao răng bằng máy siêu âm
Thiết bị siêu âm chuyên dụng tạo ra rung động tần số cao giúp làm bong và tách cao răng khỏi bề mặt răng một cách nhẹ nhàng. Công nghệ này giúp làm sạch hiệu quả cả những vị trí khó tiếp cận như kẽ răng và dưới viền nướu.
Đối với người có răng nhạy cảm, có thể xuất hiện cảm giác ê nhẹ trong quá trình thực hiện, nhưng hoàn toàn nằm trong mức kiểm soát và sẽ giảm nhanh sau khi kết thúc.
Làm sạch và đánh bóng răng
Sau khi loại bỏ toàn bộ cao răng, bề mặt răng sẽ được làm sạch và đánh bóng bằng dụng cụ chuyên dụng. Việc đánh bóng giúp làm mịn bề mặt men răng, giảm độ bám dính của mảng bám mới và mang lại cảm giác trơn láng, sạch sẽ rõ rệt.
Kiểm tra lại và hướng dẫn chăm sóc sau điều trị
Bác sĩ kiểm tra tổng thể lần cuối để đảm bảo răng đã được làm sạch hoàn toàn và nướu không bị tổn thương. Sau đó, khách hàng được hướng dẫn cách vệ sinh răng miệng đúng cách, lựa chọn bàn chải phù hợp, sử dụng chỉ nha khoa và nước súc miệng để duy trì kết quả lâu dài.
Ngoài ra, bạn sẽ được nhắc lịch tái khám và lấy cao răng định kỳ 6 tháng/lần nhằm phòng ngừa bệnh lý răng miệng và giữ cho nướu luôn khỏe mạnh.
Những câu hỏi thường gặp về lấy cao răng
Lấy cao răng có đau không?
Phần lớn khách hàng chỉ cảm thấy hơi ê nhẹ trong quá trình thực hiện, đặc biệt nếu răng nhạy cảm hoặc cao răng tích tụ nhiều dưới nướu. Tuy nhiên, cảm giác này hoàn toàn trong mức chịu đựng và sẽ giảm nhanh sau khi kết thúc. Với công nghệ siêu âm hiện đại và thao tác nhẹ nhàng của bác sĩ, процедура được kiểm soát an toàn và hạn chế tối đa khó chịu.
Bao lâu nên lấy cao răng một lần?
Các chuyên gia khuyến nghị nên lấy cao răng định kỳ khoảng 6 tháng/lần. Đối với người có cơ địa dễ hình thành cao răng, hút thuốc lá hoặc thường xuyên sử dụng cà phê, trà… có thể cần làm sạch sớm hơn theo chỉ định của bác sĩ để duy trì nướu khỏe mạnh và ngăn ngừa viêm nha chu.
Lấy cao răng có làm mòn răng không?
Không. Lấy cao răng đúng kỹ thuật tại nha khoa không làm mòn hay ảnh hưởng đến men răng. Thiết bị siêu âm chỉ tác động vào mảng bám và cao răng đã cứng lại, không gây tổn hại cấu trúc răng thật. Cảm giác “răng mỏng hơn” sau khi lấy cao răng thực chất là do lớp cao răng dày đã được loại bỏ, giúp bạn cảm nhận rõ bề mặt răng tự nhiên hơn.

Đừng để cao răng âm thầm phá hủy răng của bạn
Cao răng không chỉ là vấn đề thẩm mỹ mà còn là nguyên nhân gây ra nhiều bệnh lý răng miệng nguy hiểm. Việc lấy cao răng định kỳ là bước chăm sóc cơ bản nhưng vô cùng quan trọng để bảo vệ sức khỏe nướu và răng lâu dài.
Nếu bạn nhận thấy các dấu hiệu như chảy máu chân răng, hôi miệng hoặc chưa vệ sinh răng miệng chuyên sâu trong thời gian dài, đừng trì hoãn thêm.
Liên hệ ngay với Nha khoa Hiếu Thuận để được kiểm tra và đặt lịch lấy cao răng sớm nhất.